您所在位置:首页>护理科普

关于儿童牙齿矫正那些事

信息来源:苏州市护理学会日期:2024-06-17作者:苏小护浏览次数:2050

众所周知,自信的笑容是最美的,但是如果有一口歪歪扭扭的牙就没有那么美好了。所以您的孩子有牙齿不齐的问题困扰吗?

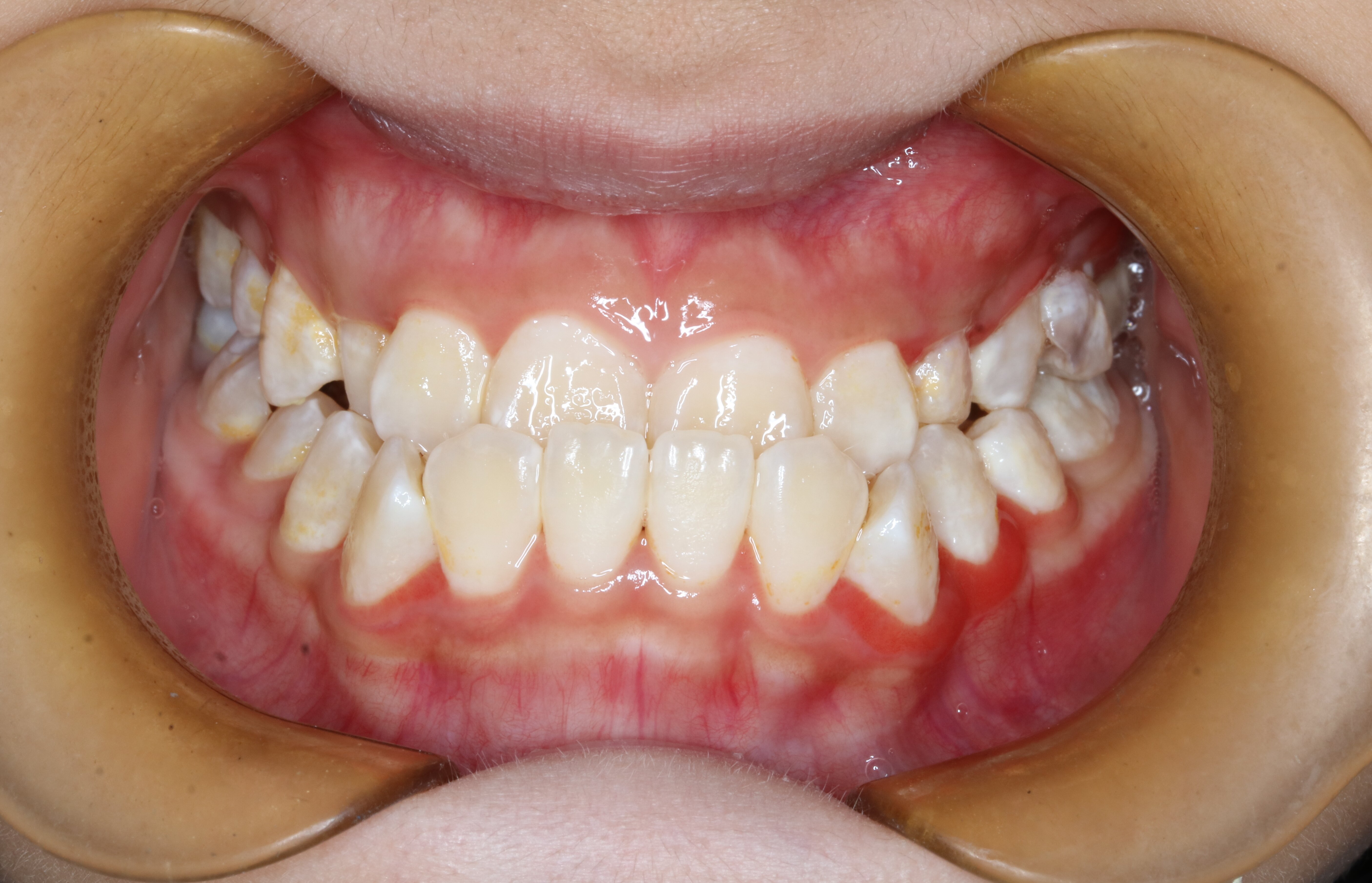
在回答这个问题之前,请看看下面几张图片。

关于儿童牙齿矫正那些事(图1)

反颌


关于儿童牙齿矫正那些事(图2)

偏颌


关于儿童牙齿矫正那些事(图3)

开颌


关于儿童牙齿矫正那些事(图4)

牙齿稀疏


关于儿童牙齿矫正那些事(图5)

牙齿拥挤


1-24061G6112Q45.JPG

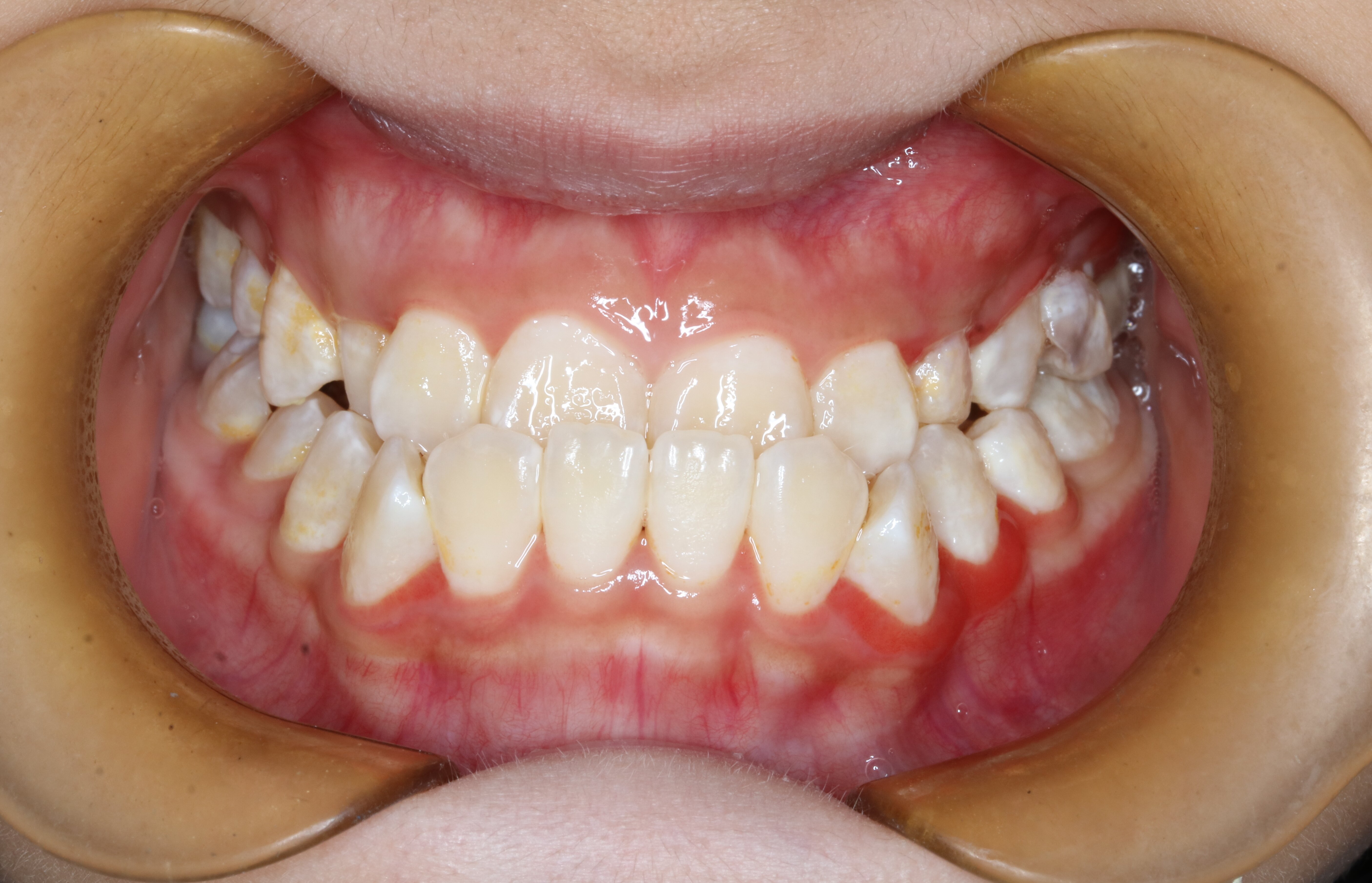
 龅牙



如果存在以上任意一种情况,那么都是属于牙齿排列不整齐,是需要及时进行干预和矫正的。大多数人认为牙齿不齐只会影响美观,所以很多家长不以为然,其实牙齿不齐对人体的危害远不止于此,它不仅仅影响我们的外貌,对健康也有很大的影响。那么牙齿不齐具体有哪些危害呢?我们一起来了解一下吧!

一、牙齿不齐的危害

(一)影响容貌    

牙齿不齐会影响牙颌面软硬组织的正常发育,进而影响到外在容貌,形成“地包天”、“龅牙”、“面部不对称”或“凸嘴”等面部畸形。

(二)影响心理健康

由于容貌外形受到影响,孩子在生活中可能会被取外号、被嘲笑,容易损害孩子的自信心、自尊心,让孩子变得自卑、易沮丧、不愿意说话、社交时缺乏自信、不爱拍照等等。

(三)影响口腔健康

导致口臭、蛀牙及牙周病:牙齿不齐影响牙齿清洁,容易形成口臭,由于很多地方刷牙刷不干净,进而会形成蛀牙;牙列稀疏则容易发生食物嵌塞而伤害牙龈牙周的健康。    

关于儿童牙齿矫正那些事(图7)

损害牙齿和牙周组织健康:牙齿不齐咬合关系异常,容易造成咀嚼时力量不均衡,进而对牙齿和牙周组织产生伤害;如牙齿过度磨耗产生敏感甚至疼痛、牙根和牙槽骨吸收、牙龈萎缩甚至牙齿松动等。

危害颞下颌关节健康:牙齿不齐会影响正常的咬合,长时间的不良咬合会引发颞下颌关节损伤,出现弹响、疼痛、杂音、张口受限等症状。

造成牙齿外伤:对于上唇很突的人,也就是俗称的龅牙,一旦受到外伤前门牙折断的几率比正常牙齿高很多。         

(四)影响口腔功能

影响咀嚼/吞咽功能:牙齿不齐降低了牙齿的咀嚼效率,食物不能充分嚼碎,不容易消化,加重肠胃负担,从而间接影响身体健康;严重的下前牙前突,会造成吞咽功能的异常。

影响发音功能:一些严重的错颌,如前牙开合、牙齿稀疏等,会影响正常发音,也就是人们常说的“说话漏风”。

综上可见,牙齿不齐不仅仅影响容貌外观,对于口腔健康同样也带来很大的影响。那么什么年龄矫正最合适?是不是需要等牙齿全部换完才能矫正牙齿呢? 

二、牙齿矫正的最佳时机

第一个最佳时期乳牙期(3-5岁):

这一阶段大部分小朋友的牙齿没有太大的问题,一般来说是没有必要去进行早期矫正的。但是有一些特殊的情况,比如说乳牙反颌(俗称乳牙“地包天”),我们建议在小朋友能配合的情况下进行早期干预,即使他还没有换牙,也不要听有的家长说换完牙才能进行矫正。

关于儿童牙齿矫正那些事(图8)

乳牙反颌


关于儿童牙齿矫正那些事(图9)

乳牙反颌面型


还有一些不良的口腔习惯:如口呼吸、咬嘴唇、吮手指等都需要早期进行干预矫正。(如果孩子经常吐舌头或者吮手指,可能会导致孩子出现牙齿向外前突、门牙合不拢等,如果孩子习惯性咬下唇,则会导致门牙前突和下颌后缩,形成龅牙)。    

第二个最佳时期替牙期(混合牙列期6-12岁):

替牙期乳牙逐渐替换为恒牙,有的牙齿长出来了,有的牙齿没长出来,看起来牙齿不太整齐不好看,但是如果仅仅是单纯的牙列不齐,就没有必要进行一个早期的矫正。那什么情况下需要在替牙列期进行矫正呢?

关于儿童牙齿矫正那些事(图10)

龅牙


关于儿童牙齿矫正那些事(图11)

小下巴


比如像我们经常说的龅牙、小下巴等,或者刚才提到的反颌这一类情况就需要进行早期干预。对于替牙期下颌后缩(俗称“小下巴”)或者上颌发育不足(俗称“地包天”)等需要进行矫正治疗的小朋友来说,我们建议在颌骨发育的一个生长高峰期,也就是替牙期8-10岁的时候进行正畸治疗,此阶段不仅能矫正牙齿,也是对面型的一个改善 。同时,在替牙期阶段,如发现孩子有咬唇、伸舌、前伸下颌等不良习惯,也要及时带孩子去医院找专业医师检查评估。

Ø第三个最佳时期恒牙期(女孩子11-14岁,男孩子13-15岁):    

这个时期孩子的牙齿基本被替换完毕,牙弓发育基本完成,牙齿不齐也已基本定型,因为这个时期正好是孩子的生长高峰期,身体快速生长的同时,牙槽骨恢复速度非常快,可以达到事半功倍的效果,所以是牙齿矫正的黄金时期。

16岁之后,颌骨的发育基本慢慢就开始停止了,那个时候与成年人的矫正就没有太大的区别了。

如果错过了牙齿矫正的最佳时期,还能矫正牙齿吗?

当然可以!年龄并不会限制矫正,只要牙周和口腔健康状况情况良好,都可以进行矫正治疗并达到满意的效果。

医师提醒:做到这4点可有效预防:

1、纠正不良习惯:少吃甜食,发现孩子有吃手指头、咬嘴唇、吐舌头等不良习惯,需及时纠正。

2、注意口腔健康:定期带孩子去医院做口腔检查,接受医生专业的口腔指导,做到龋齿早发现,早治疗,确保孩子的牙齿健康。

3、合理喂养:提倡母乳喂养,避免得奶瓶龋。采用人工喂养时,最好能使用近似乳头的奶嘴,奶嘴开孔不可过大,以直径1-2mm为宜。

4、加强咀嚼功能训练:饮食不必太精细,多让孩子吃耐嚼、耐啃的食物,充分锻炼口腔肌肉功能,有效刺激下颌骨的生长发育。